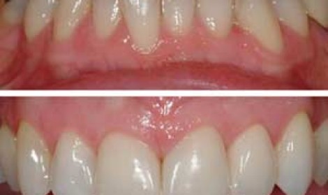
ردیف و مرتب کردن دندان - جراحی دندان
ردیف و مرتب کردن دندان چگونه انجام می شود؟
بیشتر افراد دارای دندان های نامرتب هستند که با افزایش سن دندان ها از حالت طبیعی خود به صورت نامرتب و کج تبدیل می شوند . اما علت این امر اینست که شکل دهان به دلیل افتادن دندانها تغییر کرده و یا به دلیل از بین رفتن دندانهای مجاور ، دندان ها حرکت میکنند.
اختلالات و مشکلات زیادی در ایجاد دندانهای نامرتب دخالت دارند که عبارتند از:
جابجایی فکها، فشار اضافی بر بافت لثه و استخوان و پوشش نامناسب سطح دندانها می باشد. برای جلوگیری از این مشکلات درابتدا باید دندانها را مرتب و صاف کرد.
مناسب ترین درمان ردیف و مرتب کردن دندان :
دندانپزشکان برای ردیف و مرتب کردن دندان ها از راه های مختلفی که بستگی به دندان و دهان بیمار دارد استفاده می کنند. این روش ها می تواند از انواع بریس چون بریس فلزی یا ارتودنسی نامرئی یا کانتورینگ به صورت فرمدهی و تراش دندان و یا روکشهای زیبایی از قبیل ونیر و کامپوزیت باندینگ استفاده کرده و زیبایی دندان های خود را چند برابر کنید.
برای ردیف کردن دندانها سه راه وجود دارد:
-استفاده از روش ارتودنسی : در این روش زاویه دندانها را اصلاح کرده و سلامت دندانها را بهتر می کند .
-روش های درمانی لمینت دندان : در این روش با استفاده از تراشیدن یا اضافه کردن مواد همرنگ، دندانها به ظاهر ردیف کرده و با روش سفید کردن دندان نیز انجام می شود.
-پیشگیری از پوسیدگی دندان از دلایل اهمیت این درمان می باشد .
بنابراین می توانید با استفاده از بریسهای ارتودنسی برای صاف و مرتب و ردیف کردن دندانها است.
روند انجام درمان ردیف و مرتب کردن دندان:
1-ارتودنسی ثابت
2-ارتودنسی لینگوال
3-پلاک های شفاف
4-پلاک اینمان
5-ارتودنسی دیمون
مرتب و ردیف کردن دندان بدون استفاده از ارتودنسی :
-روش های دیگری برای مرتب کردن دندان به جای ارتودنسی هست که می تواند یک روکش ساده تا جراحی باشد.
-روش دیگر استفاده از ویند کامپوزیت است.
عملکرد این روش به این صورت است که از رزینی به رنگ دندان که کامپوزیت است به شکل رنگ دندان ساخته می شود. بعد از آن این کامپوزیت روی دندان چسبانده که ظاهر یک دندان صاف را به آن میدهد.
نکته مهم در بهترین روش برای مرتب و ردیف کردن دندان ها :
همانطور که در بالا گفتیم روش های گوناگونی برای درمان این بیماری وجود دارد که هریک از آنها مزایا و معایب خود را دارد . بدین صورت که شما بیمار گرامی در صورت مراجعه به دندانپزشک خود حتما در مورد برای روش مشورت کرده و بهترین آن را انتخاب کنید . ( گزینه بهتر توسط دندانپزشک و بسته به دندان های شما انتخاب می گردد.)
هزینه مرتب کردن دندان:
در واقع برای درمان این بیماری دندانها عوامل زیادی دخالت دارند که بعد از معاینه دندانپزشک بسته به نوع جراحی ، نوع ماده به کار رفته شده و غیره متفاوت است .
برچسب ها :
ردیف و مرتب کردن دندان | روش های مرتب کردن دندان ها |مرتب کردن دندان ها | هزینه مرتب کردن دندان ها