021-66732544
مشاوره رایگان

دکتر مریم زندیه متخصص بیماری های دهان ،فک و صورت ،ارائه کلیه خدمات تخصصی زیبائی دندان      دکتر دندانپزشکی در ولیعصر خانم دکتر زندیه

پانسمان موقت دندان - جراحی دندان

کاربرد پانسمان موقت برای دندان ها چیست؟

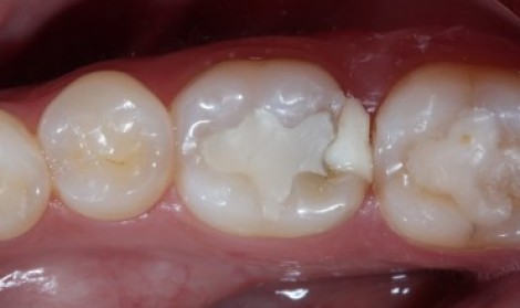
پانسمان موقت دندان چیست؟

این عمل همان طور که از اسم آن می آید یعنی به صورت موقت گذاشته می شود و بعدا باید بیرون آورده و دندان به صورت دائم درمان شود. طول مدت روند درمان دندان و ترمیم هنوز کامل نشده است پس در مدت زمان معین شده دندان توسط دندانپزشک پانسمان موقت دندان می‌شود.

پانسمان موقت دندان به چه صورت است؟

این نوع درمان موقت دندان بسیار ساده بوده که نقش مهمی را در سلامت دندان‌ها و لثه دارا می باشد. بدین صورت که پانسمان دندان به صورت یک لایه محافظتی برای مراقبت از دندان های نیمه ترمیم شده بوده که امکان جدا شدن از دندان را دارند و عدم قرار دادن این درمان باعث وارد شدن باکتری ها به دندان و عفونت آن می گردد.

دلایل استفاده از این پانسمان دندان :

-معالجه ریشه انجام داده

-آماده شدن پر کننده طلا یا روکش 

این پانسمان دندان در دهان مدت کوتاه است.توصیه می شود که در زمان خوردن غذا از طرف دیگر دهان استفاده کنید تا به آن فشار وارد نشود و از جای خود بیرون نیاید.

این درمان موقت چند هفته باقی مانده و تکرار می شود .

مراقبت از این پانسمان موقت دندان :

-در حقیقت باید از خوردن غذاهای سفت و ترد چون آجیل ، شکلات جویدنی ،تافی و جویدن آدامس خودداری کنید . چرا که این مواد با فشار و چسبیدن به این قسمت سبب بیرون آمدن آن شده که مشکلات جدی به بار می آورد .

-در زمان مسواک کردن از مسواک نرم استفاده کنید.استفاده از نخ دندان بدین صورت باشد که از کنار دندان نخ را بیرون بیاوریم تا به پانسمان موقت  دندان آسیب نرساند.


-تنها دندانپزشک می تواند بداند که دندان های شما به این درمان نیاز دارد. بنابراین خود اقدام به تهیه پانسمان نکنید.

روند انجام ترمیم دندان به علت های مختلفی در چند جلسه انجام میشود. در واقع پر کردن دندان با ماندگاری بالا یا پرکردن فشرده باید طبق نظر پزشک در چند جلسه انجام می‌شود.

موقعی که‌ترمیم دندان هنوز به اتمام نرسیده پالپ دندان، ریشه و لثه‌ها بسیار حساس می باشند ، پس برخورد مواد غذایی یا حتی زبان به قسمت های ملتهب درد زیادی ایجاد می کند . در واقع پانسمان دندان می تواند بدنه صدمه دیده دندان را از این برخورد‌ها محافظت می‌کند و از خرابی بیشتر دندان‌های کم می کند.

مزایای پانسمان موقت دندان :

-دندان درد و برای تسکین درد بسیار مناسب است.

-پانسمان های موقت دندان دارای اوژنول می باشد که این ماده تسکین دهنده و ضدعفونی کننده است .

معایب پانسمان موقت دندان:

 -طول عمر زیادی ندارند.

-در طول یک ماه این پانسمان ها از جای خود درآمده و یا دچار شکستگی و فرسودگی شوند. حالا اگر شما از پانسمان موقت استفاده می کنید فورا به دندانپزشک مراجعه کرده و برای جایگزینی آن با ترمیم دائم اقدام کنید.

تا چند ساعت بعد از پانسمان موقت دندان نباید چیزی بخورید؟

دندانپزشکان توصیه می کنند که تا یک ساعت بعد از پایان عصب کشی یا همان درمان ریشه از غذاهای سفت استفاده نکنید. چرا که در این فاصله پانسمان به اندازه کافی سخت بشود. بهتر است که حداکثر بعد از 4 هفته پرکردن دندان های شما انجام بشود .

برچسب ها :
پانسمان موقت دندان | پانسمان دندان چه کاربردی دارد؟| پانسمان موقت دندان چیست؟ |


پانسمان موقت دندان


ارتباط با واتساپ